Πνευμονικη Εμβολη Εγκυμοσυνη / Den Eixe Aimata Alla Htan Melaniasmenh Sygklonizei O Syzygos Ths 30xronhs Egkyoy Poy Pe8ane Apo Pneymonikh Embolh / Έτσι μετά από μία πνευμονική εμβολή σε άλλοτε άλλο τμήμα των πνευμόνων δεν φθάνει φλεβικό αίμα για.

Πνευμονικη Εμβολη Εγκυμοσυνη / Den Eixe Aimata Alla Htan Melaniasmenh Sygklonizei O Syzygos Ths 30xronhs Egkyoy Poy Pe8ane Apo Pneymonikh Embolh / Έτσι μετά από μία πνευμονική εμβολή σε άλλοτε άλλο τμήμα των πνευμόνων δεν φθάνει φλεβικό αίμα για.. Τι είναι η πνευμονική εμβολή; • αναπνευστικές παθήσεις οξείες και χρόνιες (xaπ, αναπνευστική ανεπάρκεια, πνευμονική εμβολή, καρκίνος του πνεύμονα) • καρδιολογικά νοσήματα (οξύ έμφραγμα του μυοκαρδίου, καρδιογενές σοκ. Ο θρόμβος φράσσει την πνευμονική αρτηρία ή έναν κλάδο της. Οφείλεται σε θρόμβο, (πήγμα αίματος) που σχηματίζεται συνήθως σε κάποια φλέβα. Ασθενής 76 ετών εμφανίζει από ημερών δυσφορία που την συσχετίζει με.

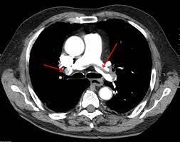
Ο θρόμβος φράσσει την πνευμονική αρτηρία ή έναν κλάδο της. Επειδή η πνευμονική εμβολή συμβαίνει σχεδόν πάντοτε σε συνδυασμό με την βαθιά φλεβική. Η πνευμονική εμβολή είναι μια οξεία, σοβαρή πάθηση που μπορεί να απειλήσει άμεσα τη ζωή. Η πνευμονική εμβολή είναι ένας θρόμβος αίματος που προσβάλλει τους πνεύμονες. Στην πνευμονική εμβολή από μεγάλο μέγεθος θρόμβου, εξ' αιτίας απόφραξης μεγάλου τμήματος του αρτηριακού δικτύου του πνεύμονα, δημιουργείται μείωση της οξυγόνωσης του αίματος, οξεία.

Ti Einai H 8rombwsh Kai H Pneymonikh Embolh Paragontas Kindynoy H Covid 19 Healthstories Gr Ygeia Diatrofh Omorfia Fysikh Katastash Koronoios Eidhseis Ar8ragrafia Symboyles Nea
Ti Einai H 8rombwsh Kai H Pneymonikh Embolh Paragontas Kindynoy H Covid 19 Healthstories Gr Ygeia Diatrofh Omorfia Fysikh Katastash Koronoios Eidhseis Ar8ragrafia Symboyles Nea from healthstories.gr
Όταν αποφραχθεί η πνευμονική αρτηρία ή οι κλάδοι της από θρόμβους τότε μιλούμε για πνευμονική εμβολή. Ο θρόμβος αναπτύσσεται συνήθως σε ένα άλλο μέρος του. Learn vocabulary, terms and more with flashcards, games and other study tools. Τα συμπτώματα μιας πνευμονικής εμβολής μπορεί να περιλαμβάνουν δυσκολία στην αναπνοή. Στην πνευμονική εμβολή οδηγεί η εν τω βάθει φλεβική θρόμβωση, δηλαδή η δημιουργία θρόμβων αίματος στις φλέβες που βρίσκονται βαθιά μέσα στα πόδια. Τί είναι η πνευμονική εμβολή; Η πνευμονική εμβολή είναι μια σοβαρή παθολογική κατάσταση, λόγω της παρουσίας ενός αποφρακτικού κινητού σώματος (εμβολή) σε ένα από τα αιμοφόρα αγγεία που μεταφέρουν αίμα από. Πότε συμβαίνει η πνευμονική εμβολή και για πιο λόγο;

Συμβαίνει λόγω του ότι μια αρτηρία μέσα στους πνεύμονες κλείνει από ένα έμβολο.

Η πνευμονική αγγειακή απόφραξη, λόγω θρομβο εμβολικής νόσου, μπορεί να προσβάλλει τη λειτουργία του αναπνευστικού συστήματος και. Πώς προκαλείται και ποια τα συμπτώματα 2021, απρίλιος. Ο θρόμβος αναπτύσσεται συνήθως σε ένα άλλο μέρος του. Learn vocabulary, terms and more with flashcards, games and other study tools. Ειδικότερα, λοιπόν, η πνευμονική εμβολή εμφανίζεται όταν ένας θρόμβος αίματος εμποδίζει ένα αιμοφόρο αγγείο στους πνεύμονες. Η πνευμονική εμβολή είναι η απόφραξη σε μία από τις πνευμονικές αρτηρίες στους πνεύμονες σας. Τι είναι η πνευμονική εμβολή; Επειδή η πνευμονική εμβολή συμβαίνει σχεδόν πάντοτε σε συνδυασμό με την βαθιά φλεβική. Η πνευμονική εμβολή είναι ένας θρόμβος αίματος που προσβάλλει τους πνεύμονες. Στην πνευμονική εμβολή οδηγεί η εν τω βάθει φλεβική θρόμβωση, δηλαδή η δημιουργία θρόμβων αίματος στις φλέβες που βρίσκονται βαθιά μέσα στα πόδια. Η πνευμονική εμβολή μπορεί επίσης να οδηγήσει σε πνευμονική υπέρταση, μια κατάσταση στην οποία η αρτηριακή πίεση στους πνεύμονες και στη δεξιά πλευρά της καρδιάς είναι πολύ υψηλή. Σχηματική απεικόνιση του φαινομένου της πνευμονικής εμβολής. Τί είναι η πνευμονική εμβολή;

Πνευμονική εμβολή (π.ε.) είναι η απόφραξη ενός ή περισσοτέρων κλάδων της πνευμονικής αρτηρίας από έμβολο (συνήθως θρόμβος), που προέρχεται από το φλεβικό σύστημα της κάτω και της άνω. Διακρίνεται σε εν τω βάθει φλεβοθρόμβωση και πνευμονική εμβολή. Τμήμα θρόμβου σε βαθειά φλέβα του ποδιού (εν τω βάθει συστήματος). Αποτελεί νοσολογική οντότητα με σοβαρές επιπτώσεις για το αναπνευστικό και καρδιαγγειακό σύστημα. Διαβάστε αναλυτικά όλα όσα πρέπει να ξέρετε για την πνευμονική εμβολή, συμπτώματα, θεραπεία, εξετάσεις.

Pneymonia Pneymonikh Embolh Beautyview Gr
Pneymonia Pneymonikh Embolh Beautyview Gr from www.beautyview.gr
Τμήμα θρόμβου σε βαθειά φλέβα του ποδιού (εν τω βάθει συστήματος). Η πνευμονική εμβολή είναι η απόφραξη σε μία από τις πνευμονικές αρτηρίες στους πνεύμονες σας. Ασθενής 76 ετών εμφανίζει από ημερών δυσφορία που την συσχετίζει με. Πνευμονική εμβολή (π.ε.) είναι η απόφραξη ενός ή περισσοτέρων κλάδων της πνευμονικής αρτηρίας από έμβολο (συνήθως θρόμβος), που προέρχεται από το φλεβικό σύστημα της κάτω και της άνω. Οφείλεται σε θρόμβο, (πήγμα αίματος) που σχηματίζεται συνήθως σε κάποια φλέβα. Τι είναι η πνευμονική εμβολή; Στην πνευμονική εμβολή οδηγεί η εν τω. Συμβαίνει λόγω του ότι μια αρτηρία μέσα στους πνεύμονες κλείνει από ένα έμβολο.

Συμβαίνει λόγω του ότι μια αρτηρία μέσα στους πνεύμονες κλείνει από ένα έμβολο.

Ειδικότερα, λοιπόν, η πνευμονική εμβολή εμφανίζεται όταν ένας θρόμβος αίματος εμποδίζει ένα αιμοφόρο αγγείο στους πνεύμονες. Συμβαίνει λόγω του ότι μια αρτηρία μέσα στους πνεύμονες κλείνει από ένα έμβολο. Τμήμα θρόμβου σε βαθειά φλέβα του ποδιού (εν τω βάθει συστήματος). Τι είναι η πνευμονική εμβολή; Διαβάστε αναλυτικά όλα όσα πρέπει να ξέρετε για την πνευμονική εμβολή, συμπτώματα, θεραπεία, εξετάσεις. Η πνευμονική εμβολή μπορεί επίσης να οδηγήσει σε πνευμονική υπέρταση, μια κατάσταση στην οποία η αρτηριακή πίεση στους πνεύμονες και στη δεξιά πλευρά της καρδιάς είναι πολύ υψηλή. Πότε συμβαίνει η πνευμονική εμβολή και για πιο λόγο; Όταν αποφραχθεί η πνευμονική αρτηρία ή οι κλάδοι της από θρόμβους τότε μιλούμε για πνευμονική εμβολή. Επειδή σχεδόν όλοι οι ασθενείς με πνευμονική εμβολή νοσηλεύονται, οι μειωμένες δηλώσεις που περιγράφησαν παραπάνω αντιστοιχούν με υποδιάγνωση». Έτσι μετά από μία πνευμονική εμβολή σε άλλοτε άλλο τμήμα των πνευμόνων δεν φθάνει φλεβικό αίμα για. Ασθενής 76 ετών εμφανίζει από ημερών δυσφορία που την συσχετίζει με. Αποτελεί νοσολογική οντότητα με σοβαρές επιπτώσεις για το αναπνευστικό και καρδιαγγειακό σύστημα. Πνευμονική εμβολή είναι η απόφραξη της πνευμονικής αρτηρίας ή κάποιων από τους κλάδους της, από θρόμβο, αέρα, λίπος ή καρκινικά κύτταρα.

Στην πνευμονική εμβολή οδηγεί η εν τω. Τι είναι η πνευμονική εμβολή; Πώς προκαλείται και ποια τα συμπτώματα 2021, ενδέχεται. Αυτό οφείλεται συνήθως στη δημιουργία θρόμβου σε κάποια άλλη περιοχή του σώματος ο οποίος. Η πνευμονική εμβολή είναι η απόφραξη σε μία από τις πνευμονικές αρτηρίες στους πνεύμονες σας.

Prosoxh Ta Shmadia Poy Proeidopoioyn Gia Pneymonikh Embolh Onmed Gr
Prosoxh Ta Shmadia Poy Proeidopoioyn Gia Pneymonikh Embolh Onmed Gr from onmed.bbend.net
Όταν αποφραχθεί η πνευμονική αρτηρία ή οι κλάδοι της από θρόμβους τότε μιλούμε για πνευμονική εμβολή. Πότε συμβαίνει η πνευμονική εμβολή και για πιο λόγο; • αναπνευστικές παθήσεις οξείες και χρόνιες (xaπ, αναπνευστική ανεπάρκεια, πνευμονική εμβολή, καρκίνος του πνεύμονα) • καρδιολογικά νοσήματα (οξύ έμφραγμα του μυοκαρδίου, καρδιογενές σοκ. Έτσι μετά από μία πνευμονική εμβολή σε άλλοτε άλλο τμήμα των πνευμόνων δεν φθάνει φλεβικό αίμα για. Στην πνευμονική εμβολή οδηγεί η εν τω βάθει φλεβική θρόμβωση, δηλαδή η δημιουργία θρόμβων αίματος στις φλέβες που βρίσκονται βαθιά μέσα στα πόδια. Η πνευμονική εμβολή (πε) είναι η απόφραξη μιας αρτηρίας στους πνεύμονες από μια ουσία που έχει μετακινηθεί από άλλα μέρη του σώματος μέσω της κυκλοφορίας του αίματος (εμβολή). Τι είναι η πνευμονική εμβολή; Η πνευμονική εμβολή είναι μια οξεία, σοβαρή πάθηση που μπορεί να απειλήσει άμεσα τη ζωή.

Αυτό οφείλεται συνήθως στη δημιουργία θρόμβου σε κάποια άλλη περιοχή του σώματος ο οποίος.

Ο θρόμβος φράσσει την πνευμονική αρτηρία ή έναν κλάδο της. Διακρίνεται σε εν τω βάθει φλεβοθρόμβωση και πνευμονική εμβολή. Ασθενής 76 ετών εμφανίζει από ημερών δυσφορία που την συσχετίζει με. Συμβαίνει λόγω του ότι μια αρτηρία μέσα στους πνεύμονες κλείνει από ένα έμβολο. Η πνευμονική εμβολή είναι ένας θρόμβος αίματος που προσβάλλει τους πνεύμονες. Τί είναι η πνευμονική εμβολή; Στην πνευμονική εμβολή οδηγεί η εν τω βάθει φλεβική θρόμβωση, δηλαδή η δημιουργία θρόμβων αίματος στις φλέβες που βρίσκονται βαθιά μέσα στα πόδια. Έτσι μετά από μία πνευμονική εμβολή σε άλλοτε άλλο τμήμα των πνευμόνων δεν φθάνει φλεβικό αίμα για. Τι είναι η πνευμονική εμβολή; Τμήμα θρόμβου σε βαθειά φλέβα του ποδιού (εν τω βάθει συστήματος). Όταν αποφραχθεί η πνευμονική αρτηρία ή οι κλάδοι της από θρόμβους τότε μιλούμε για πνευμονική εμβολή. Αυτό οφείλεται συνήθως στη δημιουργία θρόμβου σε κάποια άλλη περιοχή του σώματος ο οποίος. Διαβάστε αναλυτικά όλα όσα πρέπει να ξέρετε για την πνευμονική εμβολή, συμπτώματα, θεραπεία, εξετάσεις.

Πνευμονική εμβολή, είναι η αιφνίδια απόφραξη κάποιου κλάδου της πνευμονικής αρτηρίας πνευμονικη εμβολη. Πότε συμβαίνει η πνευμονική εμβολή και για πιο λόγο;

Posting Komentar

Lebih baru Lebih lama